Vratite svoj osmijeh. Vratite svoje samopouzdanje.
Ako vam krvare desni prilikom četkanja ili čišćenja koncem…
Ako ste već imali dubinsko čišćenje, ali se problem vratio…
Parodontitis (Parodontoza) ne prolazi sama od sebe ali uz pravi tretman može se zaustaviti.
Rezervirajte termin i napravite prvi korak prema zdravijim desnima.
Više od 1.500
zadovoljnih pacijenata.
Rezervirajte svoj pregled:
Naš glavni stomatolog odgovorit će na sva vaša pitanja i reći vam ispunjavate li uvjete za implantate.
“Rekli su da se zub ne može spasiti. U PerioDentu su ga spasili.”
Alica nije samo izgubila novac u prijašnjoj ordinaciji izgubila je i zdravlje.
Otišla je s osjećajem da joj je stanje gore nego kad je počela.
A onda je došla u Periodent.
Već na prvom pregledu su znali što treba napraviti.
Imali su plan. Imali su rješenje.
Prvi put, osjetila je da je u pravim rukama.
Krvarenje desni nije ‘normalno’. To je znak da vas tijelo upozorava.
Parodontitis (Parodontoza) je jedna od najčešćih, ali i najtiših bolesti današnjice.
Većina ljudi ne zna da je ima dok ne postane prekasno.
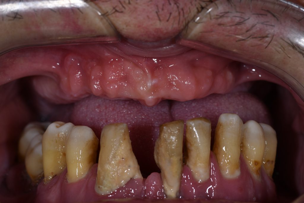
Krvarenje, neugodan zadah, povlačenje desni i klimavi zubi nisu bezazleni znakovi.
To su simptomi infekcije koja napada kosti koje drže vaše zube.
Prepoznajte simptome na vrijeme:
- Desni vam krvare dok perete zube
- Imate neugodan zadah koji ne nestaje
- Zubi su vam se počeli klimati ili pomicati
- Desni su vam se povukle zubi izgledaju duže
- Osjećate nelagodu ili bol kod žvakanja
- Imate osjećaj da vam se zubi “otvaraju”
- U prošlosti ste imali dubinsko čišćenje, ali se problem vratio
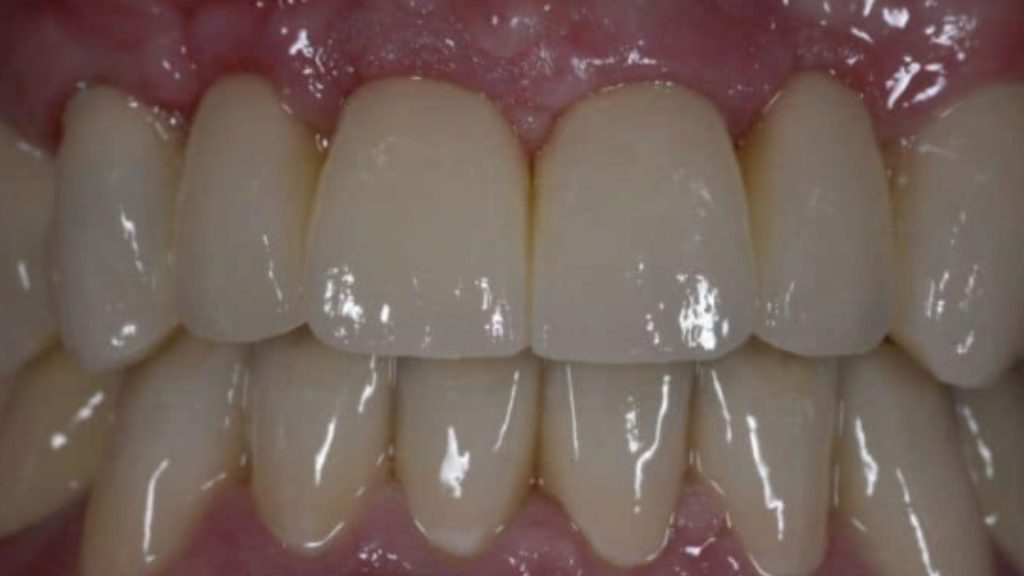
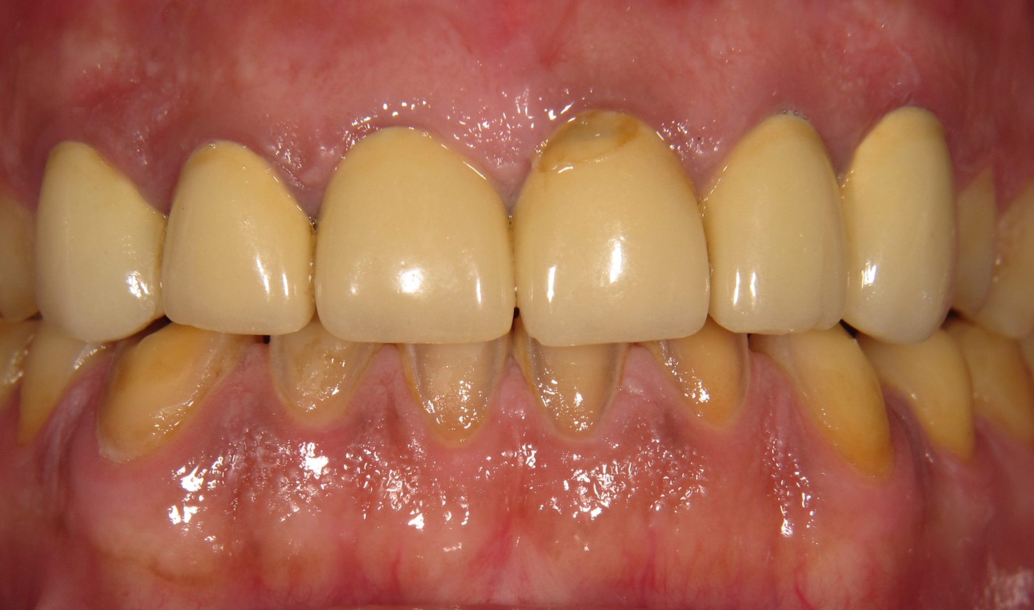
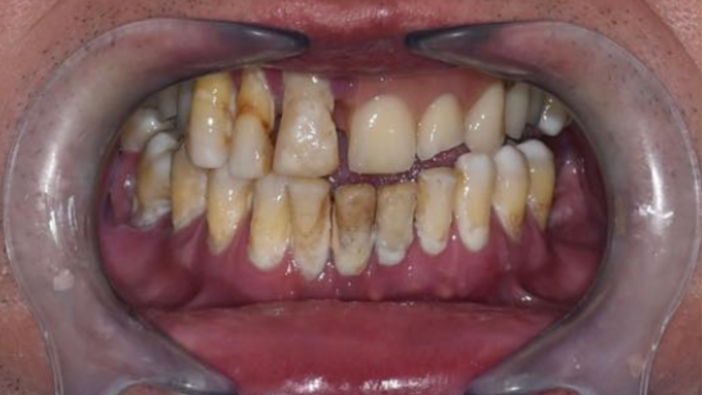
Kako izgleda razlika nakon tretmana:
PRIJE
POSLIJE
Što ranije djelujete, veća je šansa da zubi ostanu vaši
Zatražite svoj pregled i dobit ćete preciznu dijagnozu i personalizirani plan potpuno bez obaveze
Kako vam možemo pomoći bez boli,
bez rezanja,
bez straha
Zaboravite na rezanje, šivanje i tjedne oporavke.
U Periodentu koristimo naprednu terapiju za liječenje parodontoze precizno, bezbolno i s brzim oporavkom.
Svaki plan liječenja prilagođen je upravo vašim desnima, vašem stanju i vašem životnom stilu.
BENEFITI
- Brži oporavak, manje boli: Većina pacijenata se vraća normalnim aktivnostima isti dan.
- Personalizirani plan za svaku fazu: Od dijagnoze do kontrole znate točno gdje ste i što vas čeka.
- Stručan tim s godinama iskustva: Naš tim parodontologa vodi vas kroz cijeli proces, korak po korak.
- Fleksibilne opcije plaćanja: Jer zdravlje zubi ne bi smjelo biti luksuz.
Naš tim
Stručnost kojoj možete vjerovati.
DR. DARIJA VLASIĆ KAIĆ
Specijalistica parodontologije,
suosnivačica Periodenta.
“Kada prvi put pogledam pacijenta, pogledam stanje usne šupljine kao i cjelokupno zdravlje pacijenta. Bolesti desni manifestiraju se i na opće zdravlje, a moj cilj je spasiti i izliječiti svaki zub ukoliko je to moguće. Pristup pacijentu je individualan, a terapija personalizirana.”
Dr. Darija je licencirana specijalistica parodontologije s više od desetljeća iskustva u liječenju čak i najtežih slučajeva parodontoze.
Njezin pristup kombinira stručnost, empatiju i naprednu tehnologiju
DR. BORKO CVITAN
Specijalist oralne kirurgije, suosnivač
Periodenta.
“Oralno zdravlje nije samo funkcija. To je kvaliteta života. Moj posao je vratiti vam sigurnost da možete jesti, pričati i smijati se bez razmišljanja.”
Dr. Borko je kirurg s međunarodnim iskustvom i posebnim fokusom na implantologiju i kompleksne zahvate kod pacijenata koji su već izgubili zube.
Uvijek traži rješenje koje je najmanje invazivno, a najdugoročnije.
Najčešća pitanja naših pacijenata
Boli li tretman?
Ne, tretmani su minimalno invazivni i gotovo bezbolni. Koristimo lokalnu anesteziju i najnovije tehnologije kako bi svaki zahvat bio što ugodniji za pacijenta. Većina naših pacijenata se iznenadi koliko je iskustvo bilo lagano.
Koliko traje liječenje paradontitis?
Liječenje traje od nekoliko tjedana do nekoliko mjeseci, ovisno o stupnju bolesti. Već nakon prvih tretmana vidjet ćete poboljšanja, manje krvarenja, bolja stabilnost zuba i svjež dah.
Koliko to sve košta?
????
Što ako sam već bio na dubinskom čišćenju, a desni mi opet krvare?
To znači da je parodontitis možda uznapredovala ili nije bila dovoljno tretirana. Kod nas radimo temeljitu dijagnostiku, koristimo specijalizirane protokole i opremu kako bismo napali izvor problema, ne samo simptome.
Što ako je moj zub već klimav?
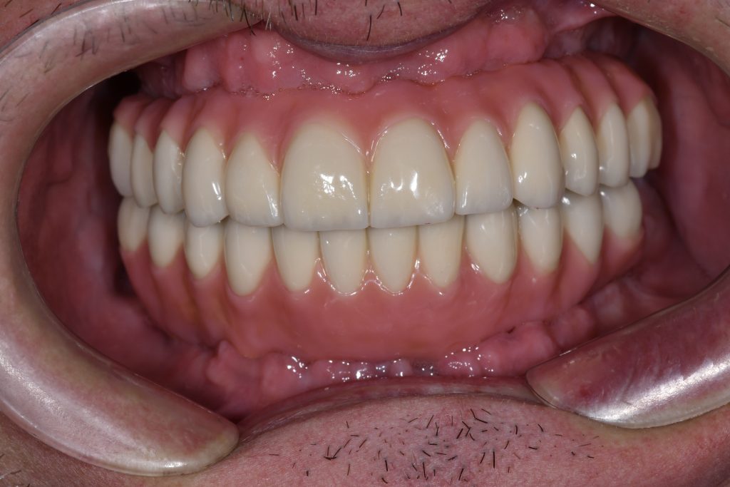
Čak i klimavi zubi se u nekim slučajevima mogu spasiti. Naš cilj je očuvati prirodne zube što je duže moguće, a ako nije moguće imamo napredna rješenja poput ALL-ON-4 i implantata.
Koliko brzo mogu vidjeti rezultate?
Već nakon prvih nekoliko dolazaka, primijetit ćete manje krvarenja, manje boli i svjež dah. Dugoročni rezultati ovise o suradnji — ali mnogi naši pacijenti kažu da nisu znali koliko zdrav osmijeh može promijeniti život.
Radite li i implantate ako zubi ne mogu biti spašeni?
Da. Ako zubi nisu više za spašavanje, ugrađujemo implantate i ALL-ON-4/ALL-ON-6 protetske radove. Naš tim ima godine iskustva i stotine uspješnih slučajeva, a cilj je vratiti vam osmijeh, funkciju i samopouzdanje.
Spasite svoje desni prije nego što bude prekasno.
Svaki dan odgađanja znači još jedan korak prema gubitku zuba.
Parodontitis (Parodontoza) ne staje sama od sebe ali uz pravi tretman, možete je zaustaviti.
Zatražite svoj prvi pregled, bez rizika i bez obaveze.
Naš tim će napraviti detaljnu dijagnozu i dati vam točan plan što dalje.